India is home to some of the finest Orthodontists, providing a range of orthodontic treatment solutions to affordable pricing. Our panel comprises the Best Orthodontists in India, all having international certifications on advanced technologies like Invisalign. Orthodontic braces cost in India start from as low as $999 making India the preferred destination to receive world-class treatment at unbelievably lower charges
TYPES OF ORTHODONTIC TREATMENTS
Metal Braces
Traditional braces with metal brackets and wires, effective for a wide range of orthodontic issues.
Ceramic Braces
Similar to metal braces but use tooth-colored or clear brackets, making them less noticeable.
Lingual Braces
Braces placed on the backside of teeth, hidden from view, suitable for those seeking discreet treatment.
Self-Ligating Braces
Braces that use a specialized clip instead of elastic bands to hold the wire, potentially reducing treatment time.
Clear Aligners
Removable, transparent trays that gradually shift teeth into place, offering a discreet alternative to braces. Millions of patients have benefitted from this new age solution.
Palatal Expanders
Devices used to widen the upper jaw, often in children, to correct crossbites and create space for crowded teeth.
Retainers
Custom-made appliances worn after braces or aligners to maintain teeth alignment.
Each treatment has its advantages and considerations. Consulting with a Smile Tour India Certified Orthodontist can help determine the most suitable option based on individual needs and preferences.
WHEN DO YOU NEED ORTHODONTIC TREATMENT
Gaps in Teeth
Crowding of Teeth / Crooked Teeth
Overbite
Underbite
Crossbite
Open bite
ADVANTAGES OF ORTHODONTIC TREATMENT
As recommended
Better function (biting and chewing)
Improved oral hygiene
Improved alignment of teeth and jaws
Lower risk of dental issues like tooth decay and gum disease
Get a quotation for Invisalign price in India or Braces cost in India
PLANNING YOUR TRIP FOR ORTHODONTIC TREATMENT IN INDIA
STEP 1
Get a quote along with a customized treatment plan by sharing your expectations along with a few pictures for our assessment.
STEP 2
Once you confirm to proceed with the treatment, our team will assist with travel and stay arrangements
Step 3
You will fly down to India as per the plan and your treatment will commence on the same day of your arrival or the next day
Step 4
Should you decide to proceed for conventional Ortho treatment ( metal or ceramic braces) the same will be completed in about a week’s time. In case you wish to proceed with the latest technologies like Invisalign, the final set of aligners are provided within 3 to 4 weeks after all the necessary tests and evaluations have been completed.
Step 5
Along with your treatment plan, you will be informed on the extra number of days you may have to wait back for any clinical evaluations if needed.
Step 6
You will be given instructions on oral hygiene, maintenance and a schedule for follow ups will be given to you.
Step 7
You have successfully completed your treatment along with all the necessary evaluations. You are now free to fly back to your home country or take the opportunity to explore the rich cultural offerings that India has to offer.
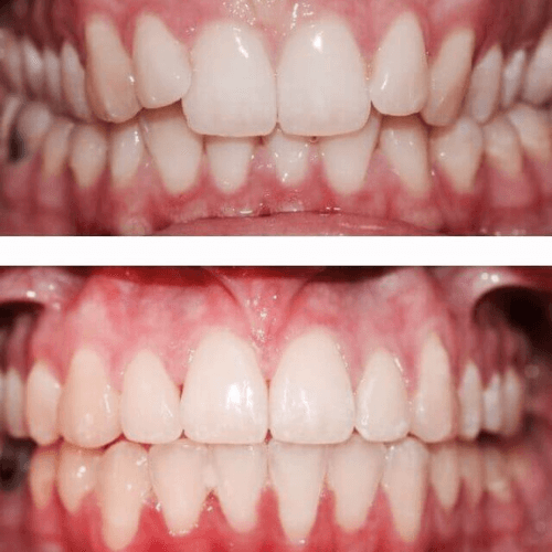
SMILE GALLERY
FAQs
WHAT IS ORTHODONTIC TREATMENT?
Orthodontic treatment involves the use of braces, aligners, and other dental appliances to correct misaligned teeth and jaws, improving both function and appearance.
WHEN SHOULD I CONSIDER ORTHODONTIC TREATMENT?
Individuals with crooked, crowded, or protruding teeth, gaps between teeth, or misaligned jaws may benefit from orthodontic treatment. It can be suitable for both children and adults.
WILL I EXPERIENCE ANY PAIN OR DISCOMFORT AFTER THE TREATMENT?
Patients generally experience mild pain and discomfort in the initial days. However, the discomfort is usually temporary and can be managed with over-the-counter pain relief.
HOW LONG DOES ORTHODONTIC TREATMENT TAKE?
The duration of treatment varies depending on the complexity of the case. On average, treatment can take 12 to 24 months, but some cases may be shorter or longer.
DO I NEED TO VISIT MY ORTHODONTIST IN INDIA FOR FOLLOW-UPS?
Thanks to the latest technologies like Invisalign, patients don’t need to visit for multiple follow-ups. However, after the completion of the treatment, the patient will be advised to visit once for post-ortho treatment instructions.